Patientenfälle

Die hier abgebildeten Patienten und ihre Eltern wurden in einem ausführlichen Aufklärungsgespräch über den Nutzen, die Risiken und Erfolgsaussichten ihrer Behandlung sowie über Alternativen und Kosten informiert und haben sich für ihre Behandlungsmethode entschieden. 

Je nach Alter des Patienten und Fall, Behandlungsgerät und mehr oder weniger ausgeprägtem Wunsch nach ästhetischer Perfektion kann die Behandlungsdauer zwischen sechs Monaten und vier Jahren betragen.

Derzeit befinden sich diese Patienten noch in der Weiterbehandlung zwecks Fertigstellung oder in der Nachbetreuung zwecks Stabilisierung des Behandlungsergebnisses.

Zu den Kinder- und Jugendlichen-Patientenfällen 

Zu den Erwachsenen-Patientenfällen 

 

 

Kinder- und Jugendlichen-Patientenfälle

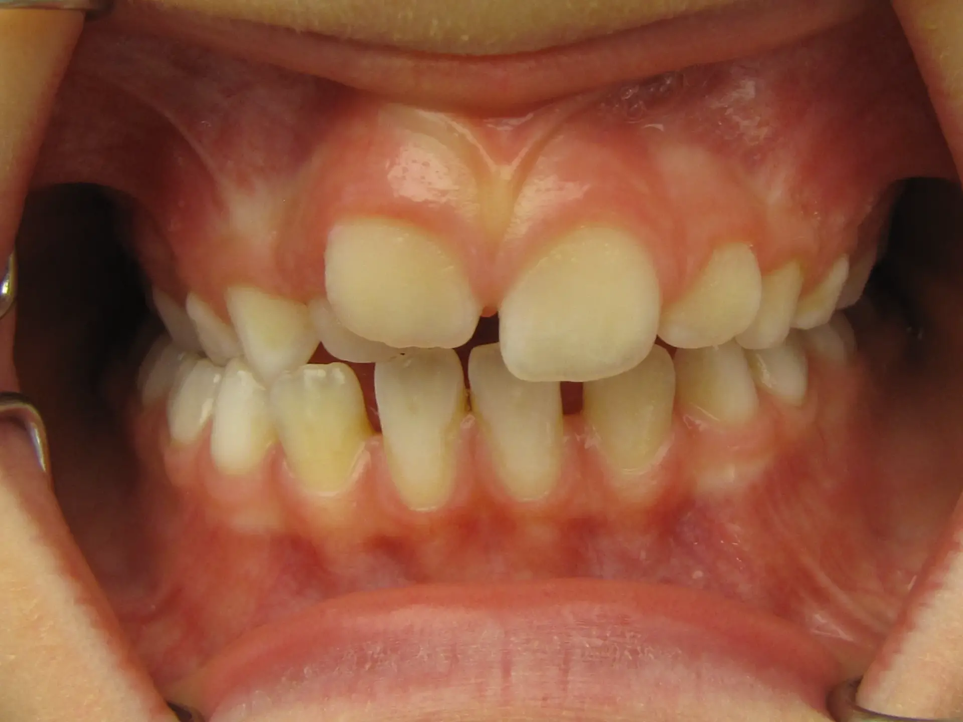
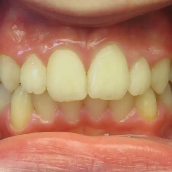
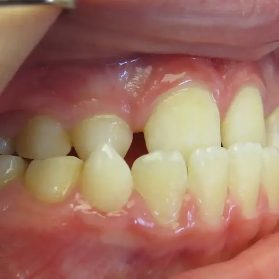
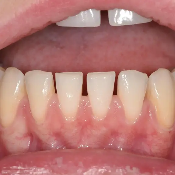
Patientenfall #1

Patient L.D. 
Behandlung mit Bionator
Dauer der Behandlung: 3-4 Jahre

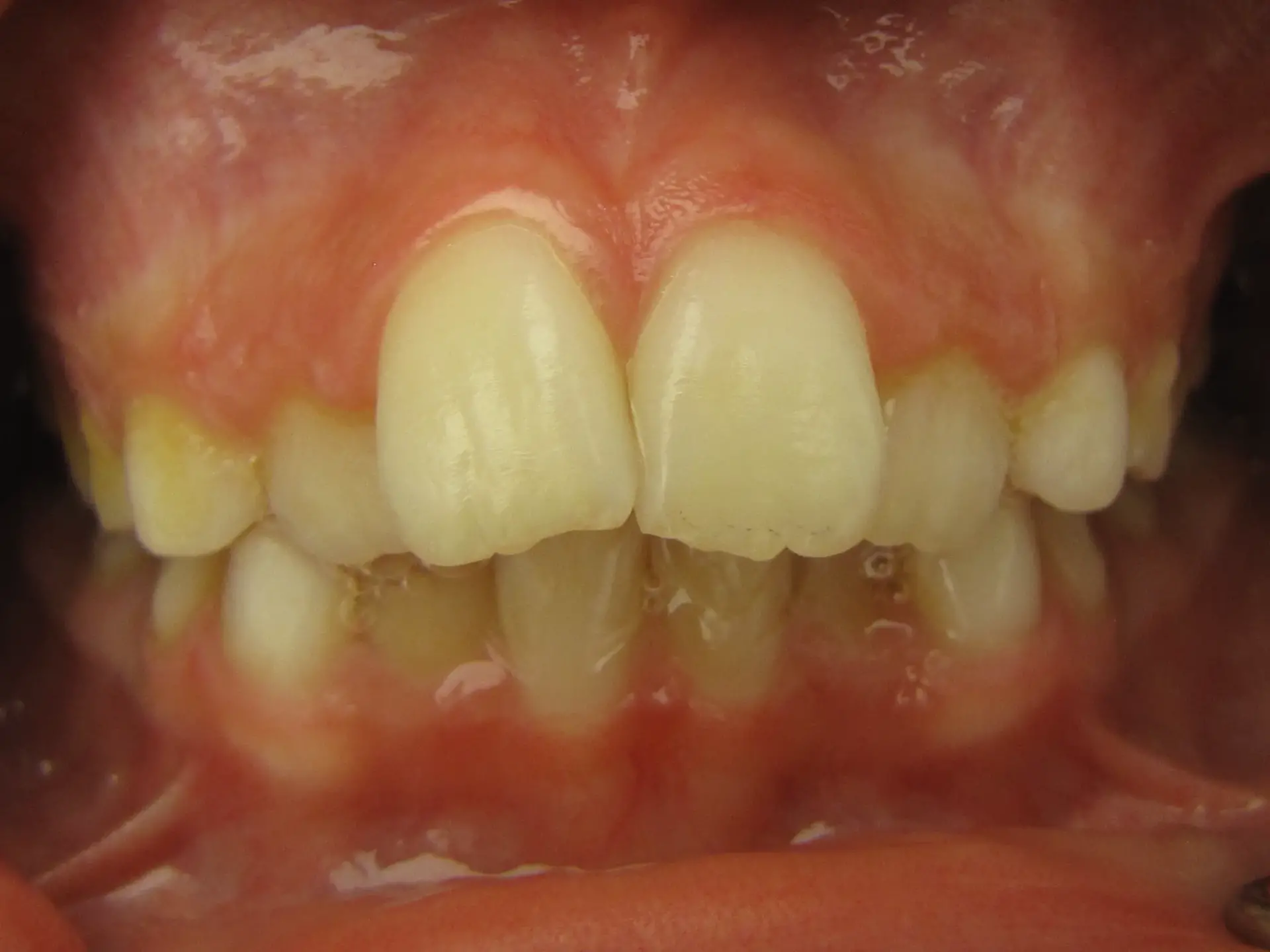
Patientenfall #2

Patient L.P.,
Behandlung mit Bionator 
Dauer der Behandlung: 4-5 Jahre

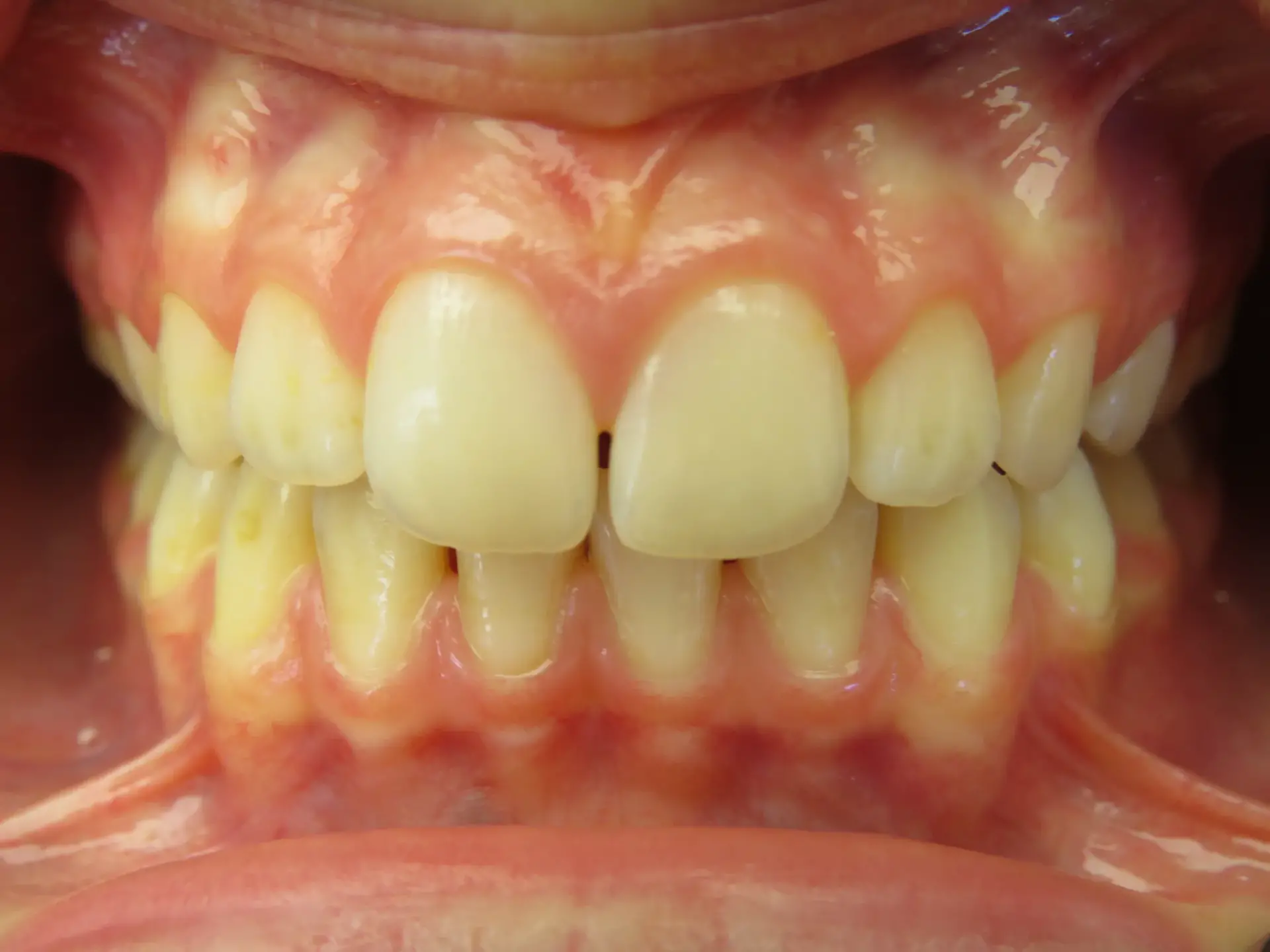
Patientenfall #3

Patient M.A.
Behandlung mit Bionator
Dauer der Behandlung: 1.5 Jahre

Patientenfall #4

Patient D.Y.
Behandlung mit Bionator und Invisalign
Behandlungsdauer: 3 Jahre

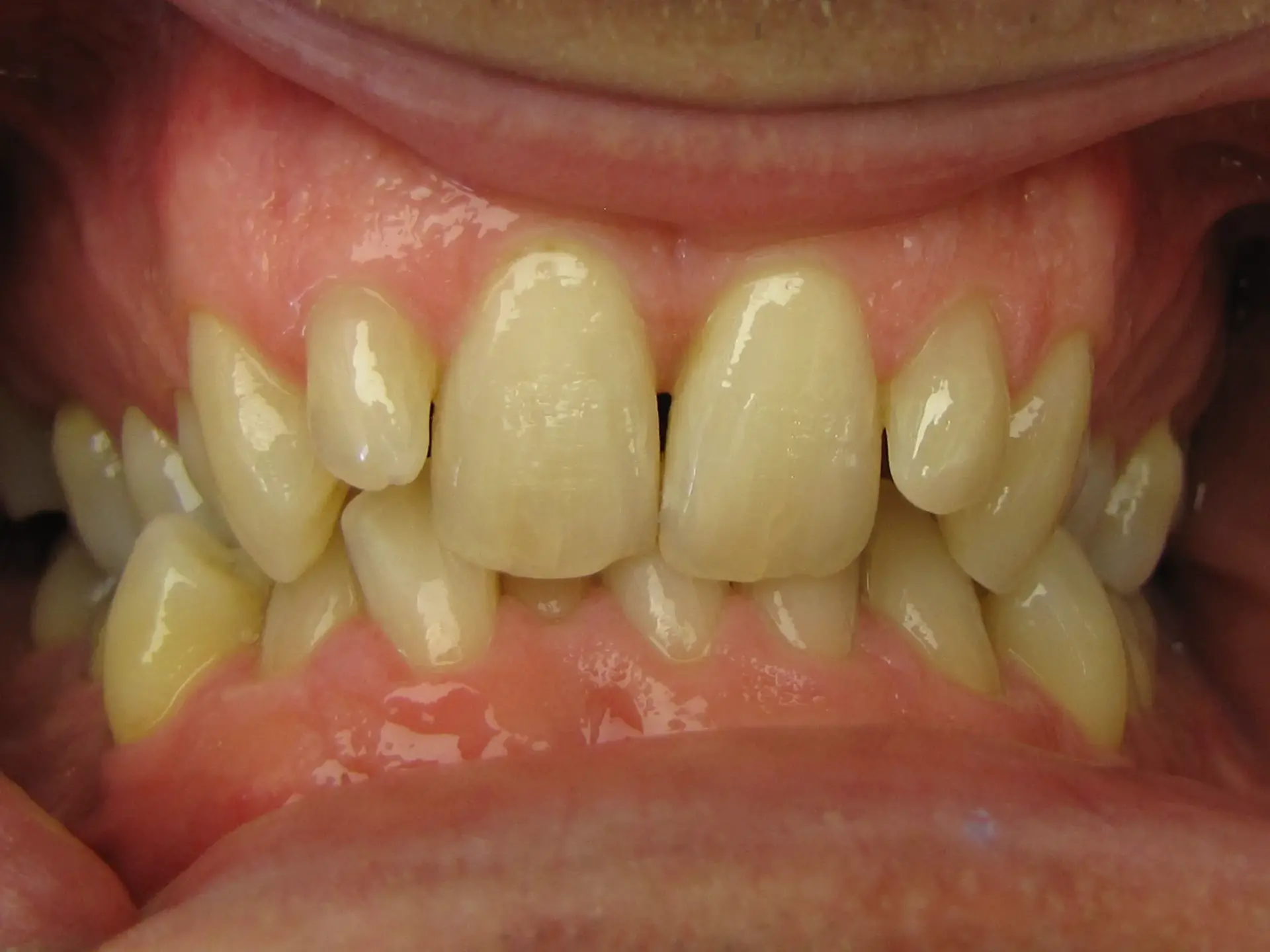
Patientenfall #5

Patient B.A.
Behandlung mit fester Spange («Gartenhag»)
Behandlungsdauer: 2 Jahre

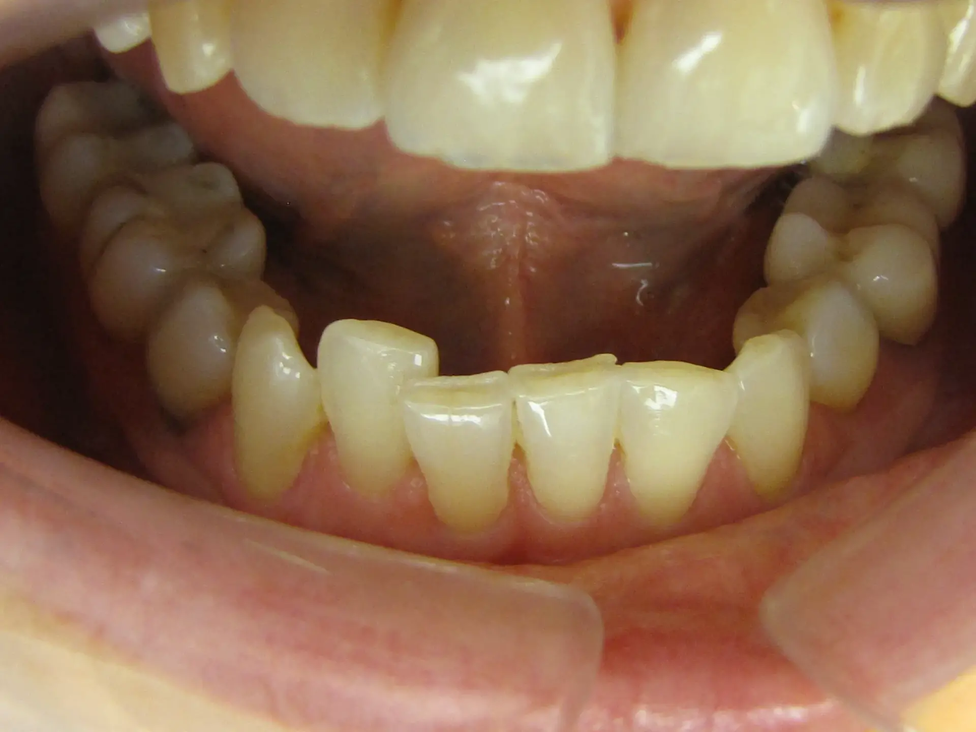
Patientenfall #6

Patient S.N.,
Behandlung mit Bionator (3 Jahre) und fester Spange («Gartenhag») (1.5 Jahre)

Patientenfall #7

Patient T.H.
Behandlung mit fester Spange („Gartenhag“)
Behandlungsdauer: 12 Monate (wachstumsbegleitend)

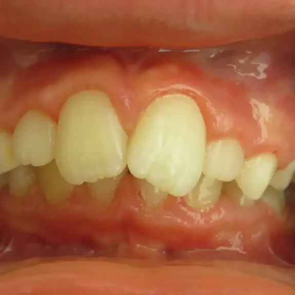
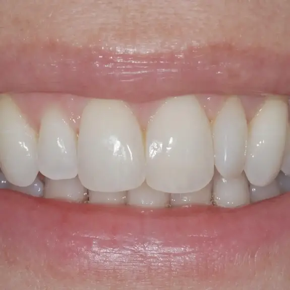
Patientenfall #8

Patient H.A.
Behandlung mit Invisalign, 6 Monate, anschliessend Aufbau der zu schmalen Schneidezähne mit Kunststofftechnik (ohne Beschleifen des Zahnschmelzes)
Behandlungsdauer: 6 Monate

Patientenfall #9

Patient G.M.
Behandlung mit Invisalign
Behandlungsdauer: 6 Monate

Patientenfall #10

Patient K.A.
Behandlung in zwei Phasen mit
a) fester Spange („Gartenhag“),
b) Invisalign 

Behandlungsdauer:
Phase a) 12 Monate,
Phase b) 6 Monate.
Anschliessend Formkorrektur des Eckzahns mittels Keramikveneer. 

Patientenfall #11

Patient M.S.
Behandlung mit Bionator 1.5 Jahre, Invisalign 6 Monate

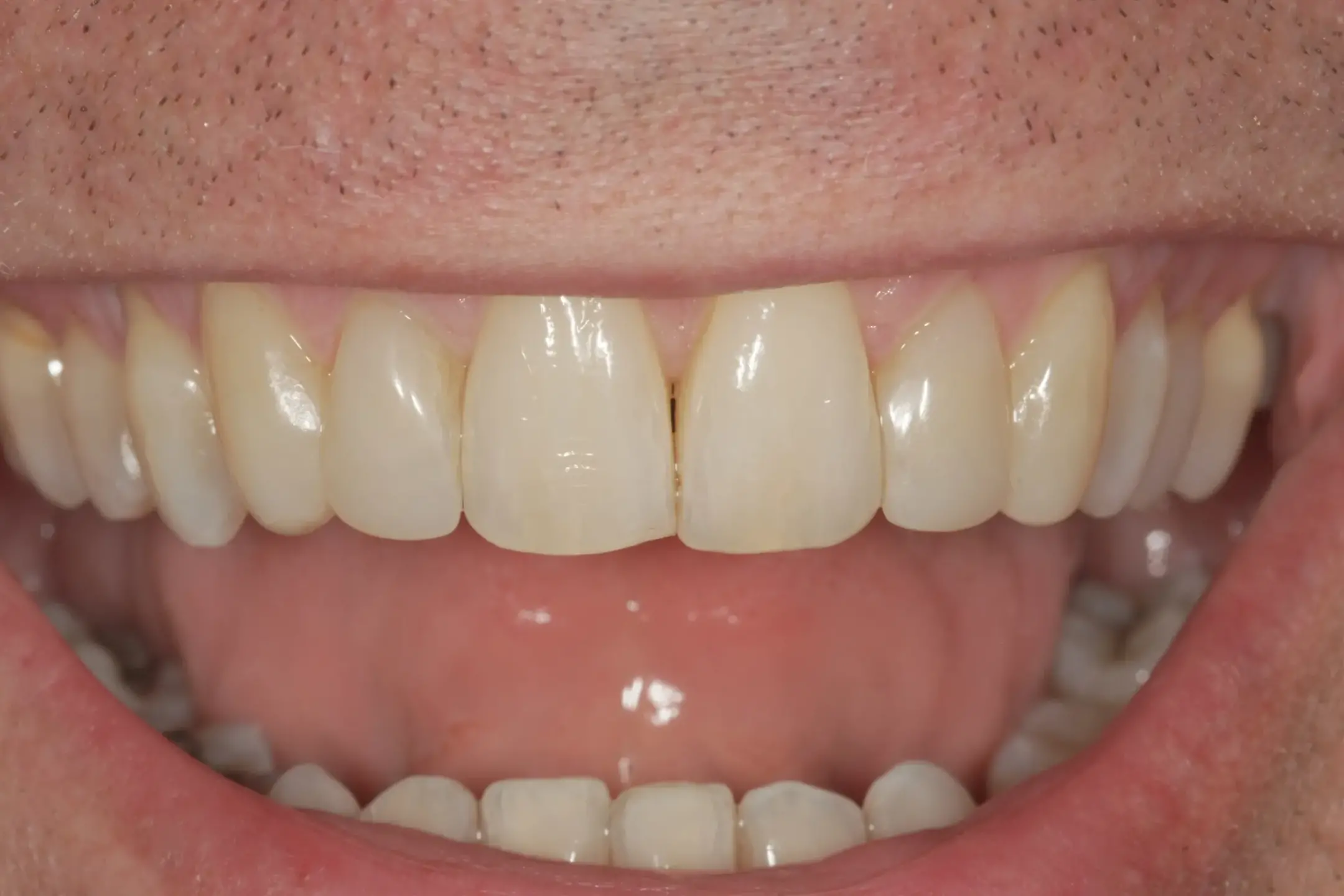
Erwachsenen-Patientenfälle

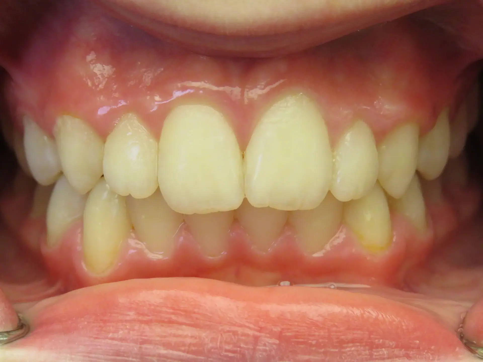
Patientenfall #12

Patient G.I.
Alter: 44
Behandlung mit Invisalign, 6 Monate, anschliessend Aufbau der Schneidekanten

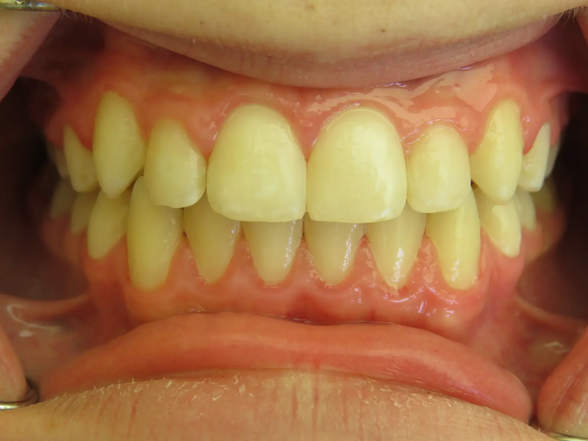
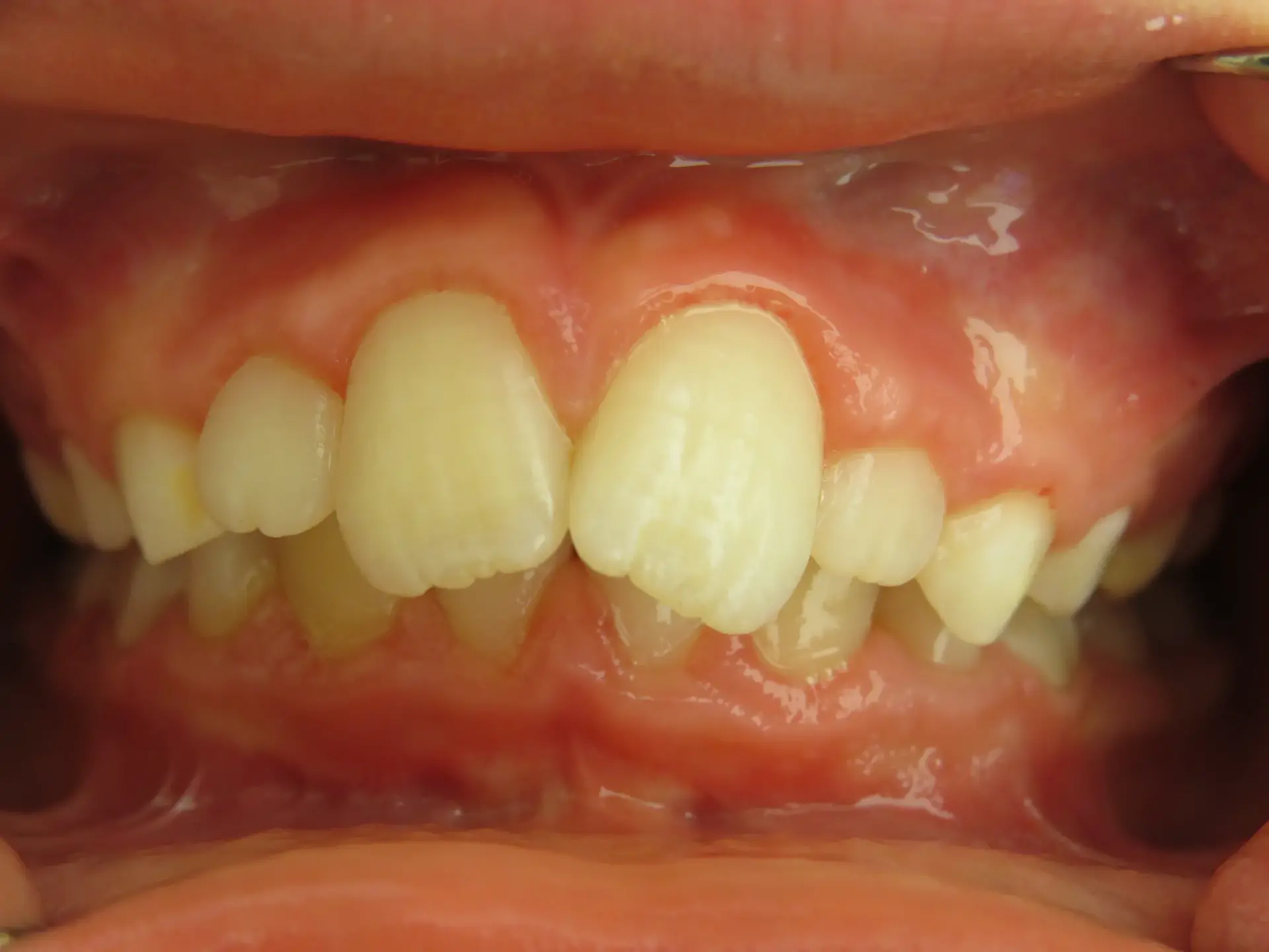
Patientenfall #13

Patient S.J.
Alter: 43
Behandlung mit Invisalign, 9 Monate, anschliessend Aufbau der Schneidekanten

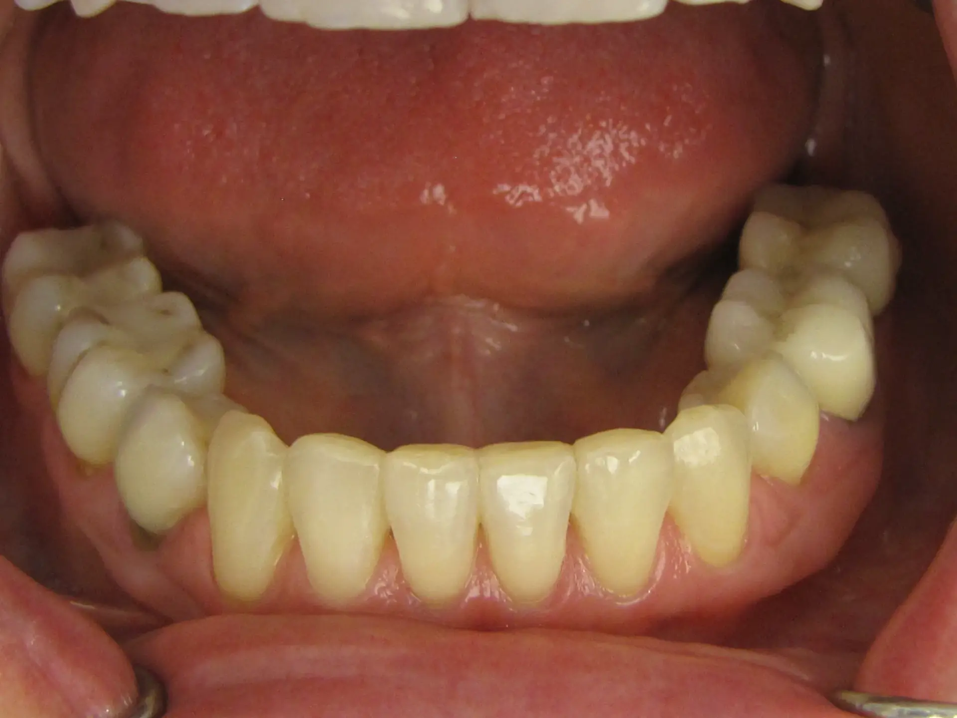
Patientenfall #14

Patient V.S.
Alter: 45
Behandlung mit fester Spange, Unterkiefer
Behandlungsdauer: 7 Monate

4 Merlot 2015 wurde dem Warenkorb hinzugefügt. wurde dem Warenkorb hinzugefügt.
Schliessen Zum Warenkorb